医院新闻
10年深耕 | 中国正畸医生的研究走在世界前列
近日,北京口腔医院王府井院区正畸科主任医师贾海潮收到了来自大洋彼岸的一座奖杯和一张祝贺卡片。

罗伯特·J·艾萨克森研究奖(Robert J Isaacson Research Prize),每两年评选一次,为发表在国际著名正畸期刊the Angle Orthodontist上的最佳论文(the Best Paper)而特别颁发。
虽然早在今年10月,他就通过电子邮件,收到了获奖通知,但真的拿到奖杯,贾海潮还是有些激动。这是中国正畸医生首次获此殊荣,贾海潮说,这个奖是惊喜是荣誉,更是对中国正畸医生的认可。
十年深耕,致力于解决临床实际问题
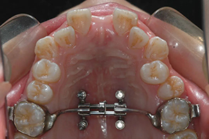
口腔正畸,就是老百姓常说的“牙齿矫正”。很多正畸患者由于上颌牙弓狭窄,出现后牙反咬合、牙齿拥挤或面部不对称,治疗时,正畸医生需要通过“扩弓”腾出空间,进而使拥挤的牙齿排列整齐。
对于生长发育高峰期之前的青少年,一般会采用“牙支抗扩弓”的方法,对牙齿施力,使牙齿在牙槽骨里移动,并通过牙齿引导上颌骨中间的骨缝“打开”,从而实现“骨性扩弓”的目的。
但对于生长发育后期或成年患者,采用“牙支抗”的方式,效果就非常有限了。有些牙弓特别狭窄的患者只能等到成年后,通过外科手术的方式将已经闭合的上颌中缝劈开,再配合正畸扩弓。很多患者和家属都觉得“动刀太受罪,凑合凑合得了”。
一个对临床很有用的方法
2013年贾海潮在美国加州大学洛杉矶分校做访问学者,正好有老师在做“种植钉辅助支抗扩弓”方面的研究——在上颌植入几颗小小的微螺钉,就可以直接在骨头上施力“扩弓”。以往需要外科手术才能解决的问题,在牙椅上就能实现,贾海潮觉得这个方法对临床很有用。
学到了这个“对临床很有用”的技术,贾海潮回到祖国。2014年国内还没有这方面的器械,他和技工中心的技师合作定制,开始进行探索研究。
随着国际学术交往和技术的进步,2017年起“种植钉辅助支抗扩弓”相关的材料、器械被引入国内,逐渐为广大正畸医生了解、掌握,临床应用也越来越广泛。特别是近年来,“种植钉辅助支抗扩弓”方面的研究逐渐成为国际正畸学研究的热点之一。2018年,贾海潮获得2项实用新型专利。
临床研究10年的积累
the Angle Orthodontist是Angle正畸医师协会主办的国际公认的正畸界数一数二的学术期刊。
2021年,贾海潮以第一作者和通讯作者的身份,在该期刊发表了研究论文,采用随机对照试验,揭示了种植钉辅助上颌快速扩弓治疗效果更好,副作用更小,是生长发育后期更好的扩弓方法。

正是这项研究在2021-2022两年内该期刊所有刊发的文章中脱颖而出,被评为唯一的一篇最佳研究论文。
讲起临床研究,贾海潮如数家珍。60例随机对照试验,在口腔正畸临床研究中无疑是一个大样本研究,30例使用种植钉辅助上颌快速扩弓,30例采用传统的牙支抗扩弓,长达4年多的病例收集,每一个病例都亲自测量、亲自记录。正是这样扎实的临床研究,赢得了国际评委们的认可。
贾海潮说,临床研究需要时间,慢慢积累急不来,我们公立医院有得天独厚的条件,患者多、疑难复杂病例多,正是患者的信任让我们有机会进行临床研究。
中国正畸医生的研究走在世界前列
十年来,贾海潮已累计完成种植钉辅助支抗扩弓300余例,年龄最大的患者42岁,以往需要外科手术才能解决的问题,通过4个直径不到2毫米的微螺钉就能解决,对于医生和患者都是更好的选择。

2022年贾海潮发表在“美国正畸学杂志”(AJODO)的“不同年龄种植钉辅助上颌快速扩弓治疗骨性上颌牙弓狭窄的疗效分析”研究论文,被美国正畸协会选入了美国正畸医师继续教育学习文献。
以解决临床实际问题为导向,在一个研究领域深耕十年,贾海潮说,我们做研究就是要解决临床问题,把我们的研究成果分享给更多的医生,才能惠及更多的患者。
随着临床研究不断深入,贾海潮尝试种植钉辅助支抗扩弓技术结合前方牵引,用于治疗生长早期严重的“地包天”畸形,也取得不错的效果。
不出门诊的日子,贾海潮会到实验室亲自做实验,他说临床研究离不开基础研究,二者相辅相成,希望未来能有更多的研究成果,解决更多的临床实际问题,帮助更多的患者。

- 贾海潮 -
首都医科大学附属北京口腔医院王府井院区正畸科主任医师、副教授、硕士研究生导师。2013-2014年教育部公派美国加州大学洛杉矶分校(UCLA)牙学院正畸科做访问学者。
主要研究领域为后牙反合、前牙反合和偏颌的矫形治疗。主持有关种植钉辅助上颌扩弓治疗骨性上颌牙弓狭窄省部级课题4项。
出诊地点:王府井院区口腔正畸科
出诊时间:周二下午、周五全天
 
             
        
        
        
        
        
 






 
 










 
  
  
  
 